Patient Stories

The true goal of medicine is not only healing, but helping every brave warrior return home safely to embrace the ones they love.

Mr. Lim

(Kuala Lumpur, Chinese Malaysian)

Treatment Plan:

GyroKnife Radiotherapy + Chemotherapy + Targeted Therapy

Post-Treatment Outcome:

– After 2 weeks: Tumor size reduced by approximately 20%

– At 2-month follow-up: Tumor reduction exceeded 95%

Before Treatment (Lung)

2-Month Follow-Up

Before Treatment (Liver)

2-Month Follow-Up

Before Treatment

After Treatment

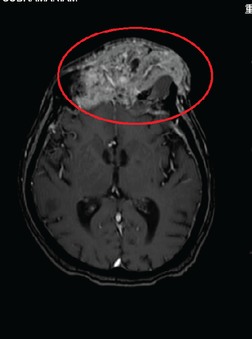
Mr Selvarajah

(National Cancer Society Malaysia (NCSM), Kuala Lumpur | Indian Malaysian)

Clinical Considerations: Advanced age and frailty; surgery not recommended due to high risk of vision loss. Non-invasive treatment prioritized.

Treatment Plan:

1. Immunotherapy

2. Radiotherapy: GyroKnife

  • Treatment Area: Forehead and left ocular region
  • Expected Outcome: After 10 sessions, significant reduction in forehead tumor size with gradual repositioning of the eyeball toward its normal alignment

3. Nutritional Support Therapy

Post-Treatment Outcome:

– Within 2 weeks, tumor size was significantly reduced

– Eyeball position returned to normal alignment

– Overall appearance and vitality improved

Before Treatment

GyroKnife Treatment (Day 2)

GyroKnife Treatment (Day 12)

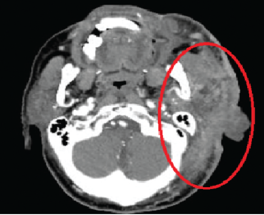
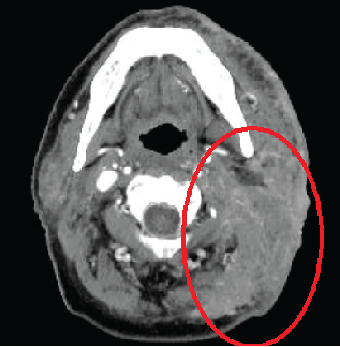
Mr. Lee

(Cameron Highlands, Chinese Malaysian)

Notes: Elderly and frail, chemotherapy not recommended. Radiotherapy prioritized.

Treatment Plan::

1. Genetic Testing: Identify potential targeted therapy options.

2. Radiotherapy: Combination of GyroKnife, Linear Accelerator, and Electron Beam

  • Treatment Area: Entire left neck region
  • Expected Outcome: Significant reduction in tumor size

3. Nutritional Support Therapy

Post-Treatment Outcome:

After 3 weeks, tumor size significantly reduced. Improved appetite and mobility

Before Treatment

After Treatment

Mr. Ng

(Ipoh, Chinese Malaysian)

Patient Condition: Persistent fatigue and low energy; required assistance for daily mobility

Treatment Plan:

GyroKnife + Electron Beam Therapy

– After 5 GyroKnife sessions, the lesion showed significant shrinkage and required repositioning

– Completed a total of 10 GyroKnife sessions, followed by 5 electron beam sessions

Post-Treatment Outcome:

Within 2 months after discharge, lesions continued to shrink and entered the scarring/healing phase

20/10

22/10

25/11

20/12

12/01